Advancing Brain Tumor Research: Exploring Causes, Treatments, and Hope - Integral University Lucknow

Research

05 Feb, 2019 |Facebook |Twitter |Email |


Integral Researches on an Algorithm to help in the early detection of Brain Tumors.

The latest Research at Integral has developed an Algorithm to identify brain tumor in the digital image obtained by MRI. Diagnosing a tumor early and accurately will save lives and reduce long-term disability.

Brain Tumor

The incidence of brain tumor in India is on the rise, as every year 40,000 to 50,000 people are diagnosed with it, according to a recent hospital-based study that was carried out in the country. People of all ages and socio-economic background are reporting to hospitals with tumors at various stages. A brain tumor may initially have symptoms like headaches, numbness or tingling in the arms or legs, and seizures to causing Memory, Communication, Cognition, and Sight difficulties. It can cause seizures and also lead to sudden death. With brain scans allowing it to be detected early, Dr. Zafar Idrees, Dean, Integral Institute of Medical Science and Research, IIMS&R, explains that early detection helps in the effective treatment and also controlling the growth of tumors.

Sadly, as per Globocan2018 report, issued by the International Association of Cancer Registries (IARC) associated with the WHO, 28, 142 new brain tumor cases annually are reported in India, while there are as many as 24 003 deaths.

The latest research of Dr. Preetam Suman, and Ms. Roshan Jahan from Department of Computer Science & Engineering with Tom Philip Pries, Universität Osnabrück, Germany, who is at Integral, under DAAD RISE worldwide research internship program, has developed Algorithm to identify brain tumor in the digital image obtained by MRI.

Brain Tumor
Brain Tumor

“Magnetic Resonance Imaging is the test that makes use of pulses of radio wave energy and magnet to build the pictures containing the structure inside the body and the organs. A particular area of the body is placed inside the machine that contains a strong magnetic field at the time of the MRI test. In MRI test picture obtained, is a digital image which is stored in the computer for detailed study” explains Dr Suman.
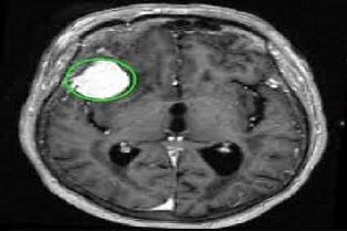
Ms. Roshan Jahan, from the Department of Computer Science & Engineering, Integral, simplifies that the algorithm is able to identify a tumor at a very early stage also. There are six classes of images used for machine learning :

  • Class 1: There is no brain tumor.
  • Class 2: There is a brain tumor in the lower right part of the brain.
  • Class 3: There is a brain tumor in the lower left part of the brain.
  • Class 4: There is a brain tumor in the lower center part of the brain.
  • Class 5: There is a brain tumor in the higher right part of the brain.
  • Class 6: There is more than one brain tumor in different places of the brain.

Integral Research asserts that a regress testing has been done to test the reliability of an algorithm and found it 92.17% efficient. After training of algorithm with the dataset, it was implemented on the Raspberry Pi 3. The Raspberry Pi is a small computer that does not work as fast as a laptop but fully functioning and can be used for various applications. The team has implemented the algorithm on the Pi so that it can be used in real time application by connecting the Pi to an fMRI machine. The algorithm on the Pi would then immediately classify the images and say if a brain tumor is present.

Brain tumors are abnormal and uncontrolled proliferation of cells. Some are originated in the brain itself and are termed as primary. And the one which is spread from other parts of the body to the brain through metastasis is termed as secondary. Both types are capable of potentially disabling the body parts and are also life-threatening. “Because the skull has limited space inside, intracranial pressure increases as they grow, and cause Edam, which is a reduction in the blood flow and displacement of the consequent degeneration of healthy tissue. The research would help in the detection and the early diagnosis,” mentions Dr. Idrees, Dean, IIMS&R.

“The diagnosis of a brain tumor can be very frightening for patients and their families. In early diagnosis, the patients find it easier to cope with the illness when they know the symptoms to look for and what to do if they should occur and most importantly feel reassured by the receiving treatment” comments Dr. Suman.


Integral Times is a publication of Integral University Media & Communications.

ENQUIRE NOW